米乐YY易游

EN
×
EN
  • 营业咨询

    中国:

    Email: marketing@medicilon.com.cn

    营业咨询专线:400-780-8018

    (仅限服务咨询,,,,,其他事宜请拨打川沙总部电话)

    川沙总部电话: +86 (21) 5859-1500

    外洋:

    +1(781)535-1428(U.S.)

    0044 7790 816 954 (Europe)

    Email:marketing@medicilon.com

在线留言×
点击切换
Integrated Solutions
服务平台

深度整合研发履历,,,,,一直攀缘研发手艺岑岭,,,,,搭建新药研发一体化立异服务平台。。。。。

病理学研究

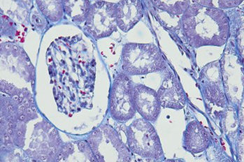
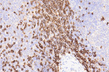
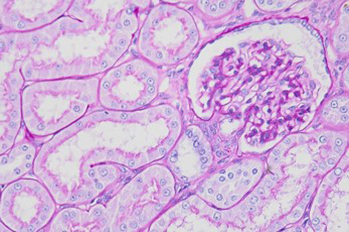
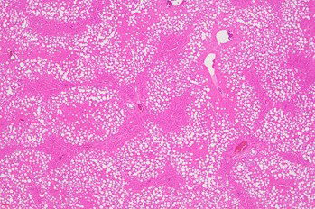
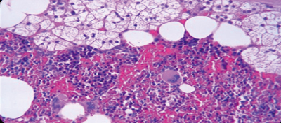
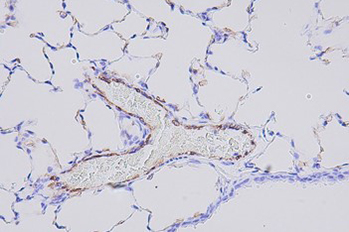
米乐YY易游的病理学研究服务平台对标国际领先的研究操作流程和质量系统,,,,,具有完善的专业资质,,,,,完整的实验器材以及富厚的履历,,,,,能够实现高效,,,,,稳固的病理研究服务。。。。。病理学研究服务平台可以为新药研发的药理药效和清静性评估提供真实可靠的科学依据。。。。。
米乐YY易游病理学研究平台
米乐YY易游病理学研究服务列表
病理研究服务平台专业资质
病理研究服务平台实验室设施
返回
×
搜索验证
点击切换
【网站地图】【sitemap】